Amplification du signal améliorée, alternative supérieure au TSA
Le système Power Styramide™ Signal Amplification (PSA™) est l’une des méthodes d’augmentation du signal les plus sensibles. Il permet de détecter des cibles en très faible abondance dans les cellules et les tissus, avec un signal de fluorescence de 10 à 50 fois plus élevé que les réactifs à base de tyramide (TSA) largement utilisés.
Fonctionnement :

- Incuber avec un antigène primaire
- Ajouter un conjugué HRP
- Incuber avec le réactif PSA™ (3-10 min.) La HRP catalyse la formation des radicaux libres PSA™.
- Les radicaux libres de PSA™ forment des liaisons avec les résidus de tyrosine à proximité de la HRP. Les radicaux de PSA™ non fixés forment des dimères qui sont ensuite lavés.
Les fluorochromes iFluor™ constituent une gamme de colorants fluorescents très solubles dans l’eau. Ils améliorent la luminosité et la photostabilité des marquages fluorescents. La combinaison des colorants iFluor™ et du Styramide™ permet de générer un signal de fluorescence avec une précision et une sensibilité beaucoup plus élevées (plus de 100 fois) que les marquages standards en ICC / IF / IHC. Le PSA™ utilise l’activité catalytique de la peroxydase de raifort (HRP) pour le dépôt covalent de fluorophores in situ. Les radicaux PSA™ ont une réactivité beaucoup plus élevée que les radicaux tyramide, ce qui rend le système PSA™ beaucoup plus rapide, plus robuste et plus sensible que les réactifs TSA traditionnels.
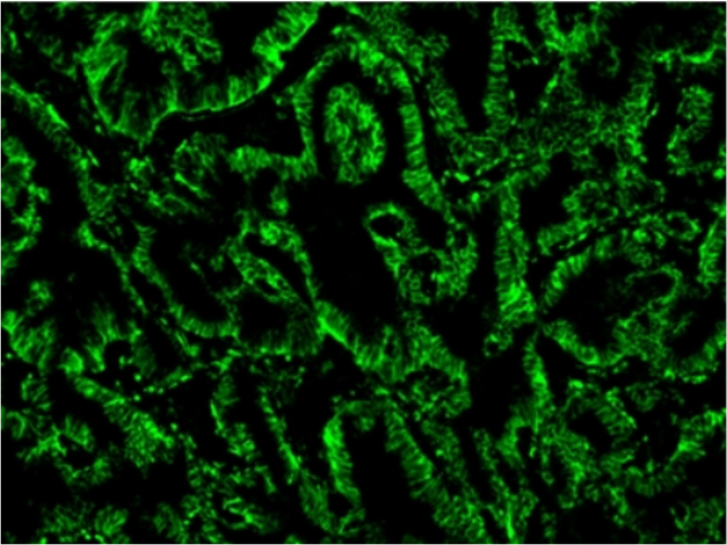
iFluor 488™ PSA™ |
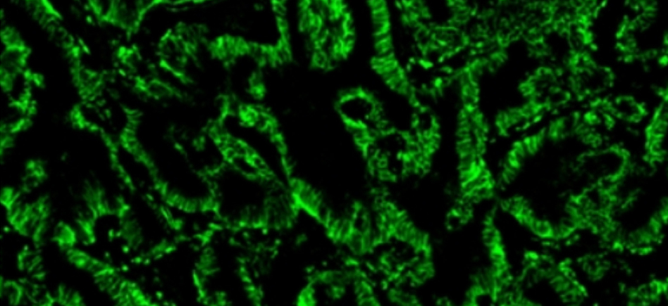
Alexa Fluor® 488-TSA |
![]() |
![]() |
Fluorescence en IHC de coupes fixées au formaldéhyde, incluses dans la paraffine, par les méthodes amplifiées PSA™ et TSA. Des coupes de tissus positifs pour l’adénocarcinome pulmonaire humain ont été colorées avec un anticorps anti-EpCam de lapin, puis incubées avec un anticorps secondaire IgG de chèvre anti-lapin marqué au polyHRP, suivi d’une coloration par iFluor™ 488 Styramide™ (#B4NEY0) ou Alexa Fluor® 488 tyramide respectivement. Les images montrent l’amélioration de l’amplification avec l’iFluor 488™ PSA™.
Avantages des Styramides™ iFluor™
- Sensibilité exceptionnelle: amélioration >100 fois supérieure aux standards IHC, ICC, IF
- Réactivité plus élevée: un marquage plus rapide, plus efficace et plus robuste des conjugués Styramide™ au site d’interaction de la HRP
- Conserver les anticorps précieux : permet d’utiliser beaucoup moins d’anticorps primaires ou de sondes sans sacrifier la sensibilité de détection
En savoir plus :
- Découvrez la gamme des Styramides™ iFluor™
- Contactez-nous : interbiotech@interchim.com






